Many patients don’t discuss tooth wear with us because they don’t realise that their teeth are worn, or that we can help.
Ask yourself the following questions.
- Do your teeth look shorter than they used to?
- Are your teeth so worn that they don’t ‘show’ when you smile?
- Have your teeth become sensitive, limiting what you eat and drink?
- Have you noticed pips and seeds getting stuck in your back teeth?
- Do your teeth and fillings frequently break and chip?
- Have they started to feel sharp or worn?
- Is it uncomfortable when you clean your teeth?
- Are you self-conscious when you smile?
If the answer to any of these is yes, then you probably have tooth wear. Our dental practice in Quedgeley can strategically rebuild worn and damaged teeth back to their original shape, restoring your smile and improving your confidence.

JL aged 80
For anyone who may be contemplating major dental reconstruction, I hope these few notes will be of some help and reassurance that such actions are totally worthwhile.
Prior to the Spring of 2016, I was aware that my own dental state was not as might have been regarded as “good”. When my dentist – Dr Oliver Stew (Ollie) suggested a project whereby there could be and indeed would-be considerable improvement, I was more than interested.
Ollie explained in detail what would be involved. He explained how the improvements would be achieved – I have no means of defining these procedures, nor of the technical terms involved. In essence, I would be required to undergo preparatory work – such as the grinding down of my existing teeth to accept the fitting of caps, the rebuilding of some teeth, the fitting of temporary caps, and the taking of impressions at various stages for a new denture. It was estimated that there would be in excess of 25 appointments over a period of approximately 18 months.
Following much family discussion and consideration, I agreed to the commencement of the treatment. I must admit, there were times during treatment that I wondered if it was going to be worthwhile, by that I mean the number of appointments required and the costs involved. I am pleased to say that all my doubts have gone.
The project is about to end, and I have to say that it has not been painful at any time, although keeping one’s mouth open and keeping one’s head still for long periods does require much concentration. It is difficult to describe in words the considerable change in my own facial appearance and my newly found confidence when smiling. Thanks to Ollie, it was a job “well done”!
Overview
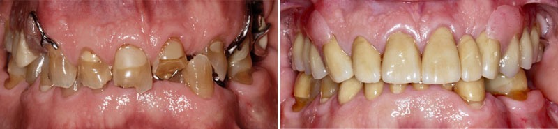
Teeth are designed to wear naturally with age, and this is perfectly normal. As more of us keep our teeth for longer, our teeth will undergo more wear and tear than ever before. In addition, greater day-to-day stresses, overzealous brushing and a more acidic diet, have led to substantially higher levels of advanced tooth wear in younger age groups.
If our enamel wears away, the underlying dentine becomes exposed. This can make our teeth far more sensitive to cold; and even breathing in air or exercising can become uncomfortable. The teeth can become thin and fragile and more prone to fracture. The teeth can start to look chipped and broken, ageing our smile beyond our years and making us feel self-conscious. Teeth cannot repair themselves, and without help will continue to deteriorate.
Types of tooth wear
Attrition – this is caused by excessive contact between the teeth. The teeth routinely contact for just seventeen minutes per day, that’s not very much at all! If you grind your teeth at night or clench your teeth during the day when you are stressed or concentrating, your teeth will be in contact for much longer, causing more tooth wear. Patients suffering from attrition usually have shorter teeth. The front teeth become flat with no individual outline, and the top and bottom teeth fit together like a jigsaw puzzle. The back teeth become very flat and smooth.

Erosion – this is caused by excessive acid in the mouth, either due to acidic foods and drinks or a medical condition. Patients suffering from erosion usually have pitted or jagged teeth. The front teeth become very thin, almost translucent, making them very sensitive. The back teeth become very pitted causing small foods such as seeds and pips to get stuck.

Abrasion – this is caused by excessive rubbing of the teeth from an external source, usually the bristles of a manual toothbrush. Many years of overzealous brushing with a manual toothbrush can cause the gums to recede and the root surfaces of the teeth to become exposed. Continued use of a manual toothbrush can cause grooves at the neck of the teeth, where they meet the gum. Patients suffering from abrasion usually have gum recession and the teeth will appear longer. The root surfaces can become very sensitive and the grooves can become stained.

How can we help you?
St.James Dental has two dentists specifically trained in tooth wear who can help. Ollie Stew and Chris Marston have both completed a Master’s degree in Restorative Dentistry at the prestigious Eastman Dental Institute. Their knowledge and experience in treating patients with tooth wear means you are in safe hands and can be confident in the results.
Solutions for tooth wear
Over the past few years, there have been excellent advances in the technology and understanding of adhesive dentistry. This allows us to treat tooth wear with more conservative techniques than ever before, using a combination of composite resin and adhesive porcelain to create beautiful and natural-looking results. Our bonding is now so powerful that even very broken-down teeth can be fixed and restored back to their original shape. We can rejuvenate an ageing smile by restoring face height, lip support, and tooth length, giving you back the confidence to smile again.
In some cases, dental implants and orthodontics can help to achieve the complete smile transformation. Our team is highly experienced in all aspects of dentistry, so you can be confident in the care that you receive. Our hygienists are experts in looking after your new teeth, making sure your new smile will last for many years.
See how Ollie and Chris have helped others with advanced tooth wear in our smile gallery. If you feel that we can help you smile again, please contact our patient coordinator Jaime on 01452 727 665 or email info@stjamesdental.com. She can discuss your options, give you further information, and make an appointment with Ollie or Chris today.

