

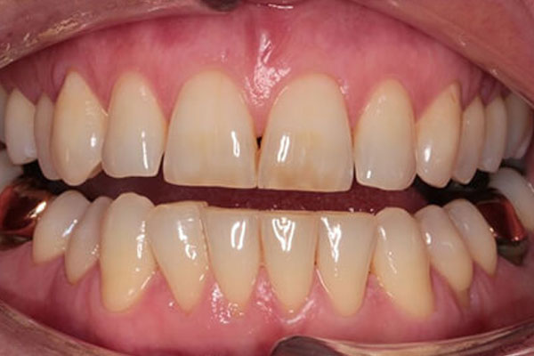
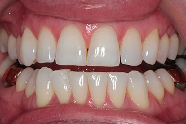
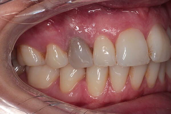
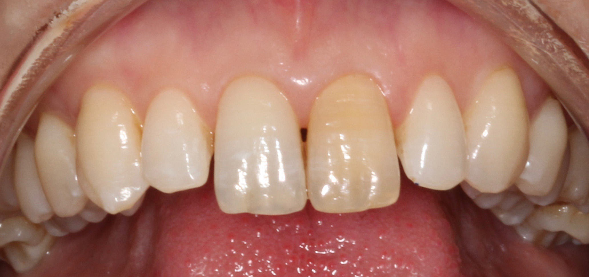
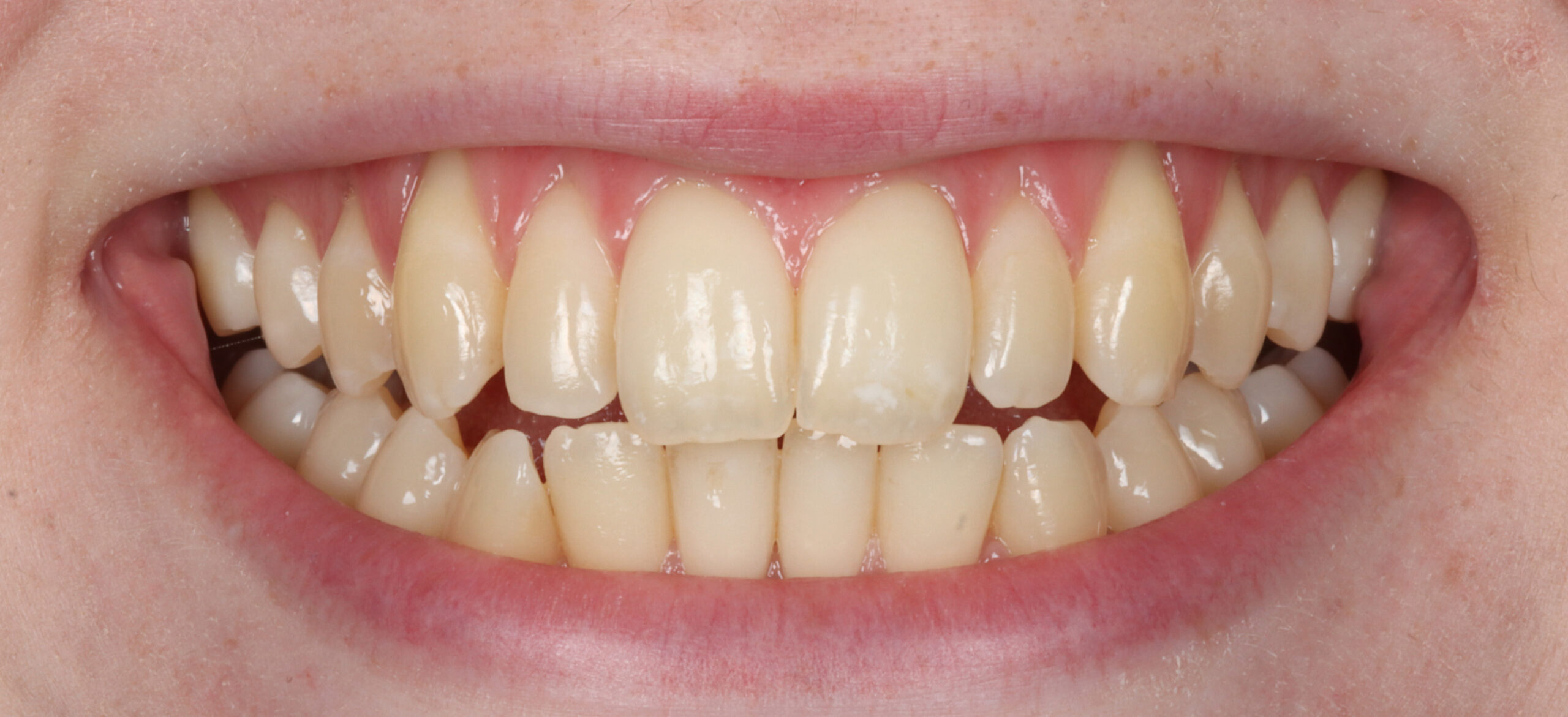
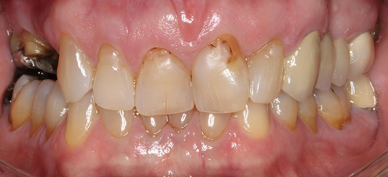
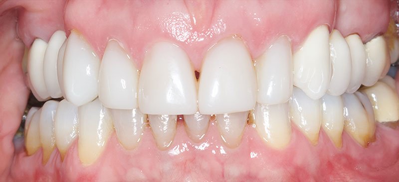
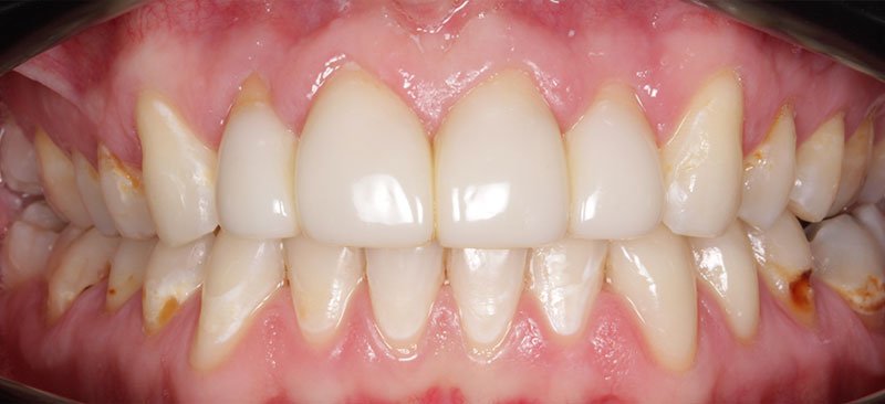
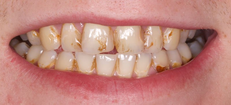
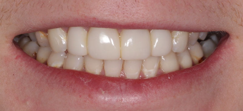
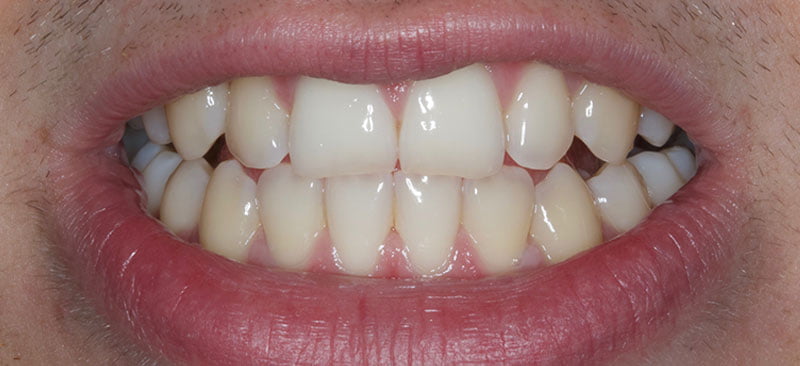
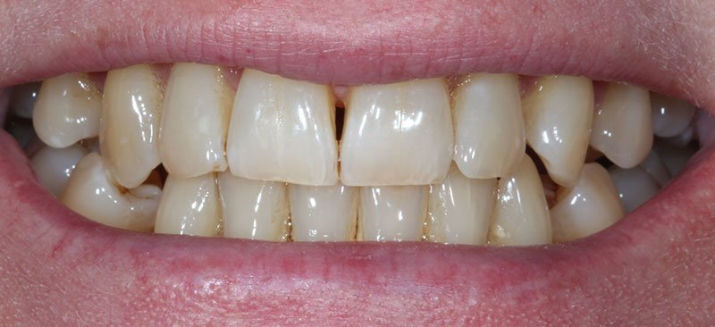
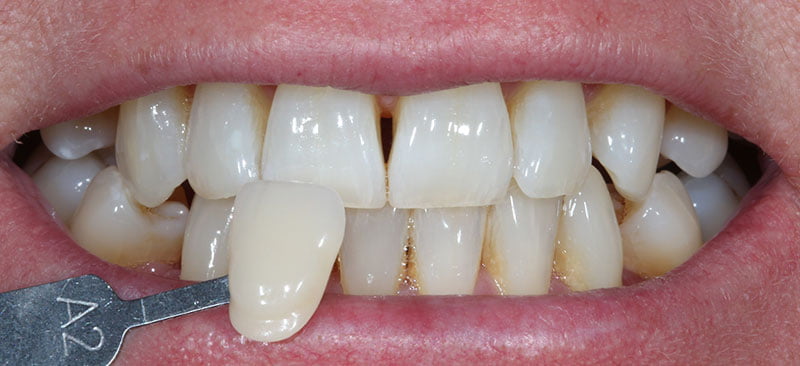
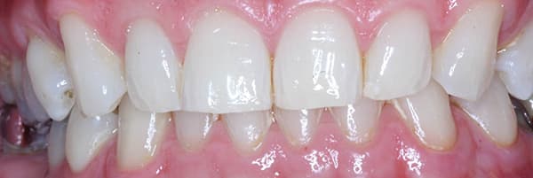
We are proud to show you examples of how we have helped our clients achieve smiles they are confident with.
Please drag the sliders on the images below to switch between the before and after images.


















We offer free discussions to talk through your options and determine what treatment is the most suitable for you.
For more information, please contact our patient coordinator, Amanda, on 01452 727 665 or by emailing us at info@stjamesdental.com
Did you know that we offer care plans through Denplan?