

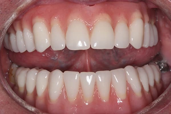
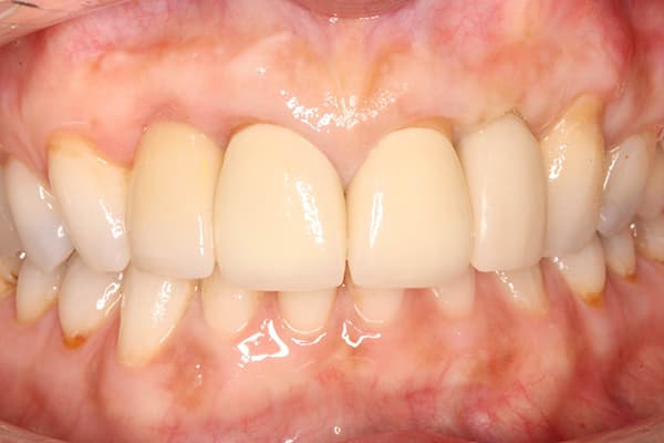
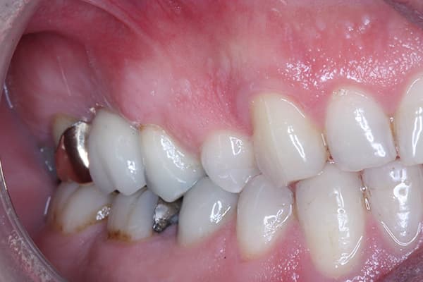
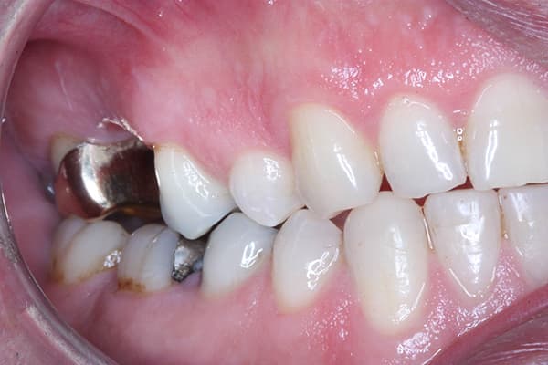
Are you missing teeth and concerned about your appearance or your ability to chew? Are you fed up with loose dentures, having to avoid certain foods and worried about feeling embarrassed in public? If the answer to any of these questions is YES, then dental implants could be the answer you are looking for!

Dr Ollie Stew will expertly create teeth that match your own and look completely natural. He has advanced training in implantology, bone regeneration techniques and restorative dentistry in order to provide you with the very best.
Book your free discussion
Dental implants really can be life-changing. An unsightly or annoying gap can once again be filled with a tooth, giving you absolute confidence when you smile. Your loose denture can be secured in place, giving you peace of mind to talk and eat once again. That crown which repeatedly falls out can be replaced with a beautiful new tooth imperceptible from your own.
It is important to discuss any concerns that you have. Ollie will personally discuss the treatment options available to you using his vast experience of helping others achieve their very best smiles.

Ollie offers a unique approach to patient care, by utilising his advanced training in restorative dentistry to provide you with the very best. He has completed his Diploma at the University of Bristol, and nothing gives him more pleasure than to see his patients smile and eat with renewed confidence.

Get the answers to all your questions and discuss all aspects of implant treatment during your follow up consultation. You will be provided with a comprehensive written report of your treatment, how long it will take, and the costs involved to provide you with the best possible outcome.
With evening and weekend appointments, we aim to be as convenient as possible and work around you. Begin restoring your natural smile by contacting Robbie, our patient coordinator, on 01452 727669 or robbie@stjamesdental.com

First time treatment for 8 years with Ollie. Incredibly professional, clearly explained the treatment and put me at ease, I was surprised at how nervous I was. Absolutely no need, every step of way felt in safe hands and comfortable. Could not recommend highly enough. THANK YOU!




We are happy to answer any questions or concerns you may have and discuss your implant treatment with you. Begin your implant journey by contacting our patient coordinator, Robbie, on 01452 727669 or by emailing us at robbie@stjamesdental.com
Book an appointment with our friendly team